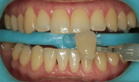
ДО
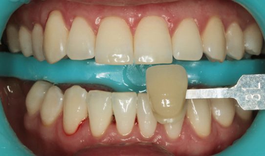
ПОСЛЕ
Проведена процедура отбеливания зубов Beyond Polus.
Врачи
Главный врач, 1-я квалификационная категория по терапии и ортопедии
Кандидат медицинских наук, врач стоматолог высшей квалификационной категории.



