Работаем с 2001 года Расширенная (в два раза дольше чем в других центрах) гарантия на стоматологию Самые низкие цены на лазерную эпиляцию

+375 (29) 699-03-03

info@roden.by
  • Работаем ежедневно:
  • Пн-Пт: 9:00 - 21:00
  • Сб-Вс: 9:00 - 19:00
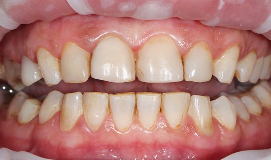
До ДО
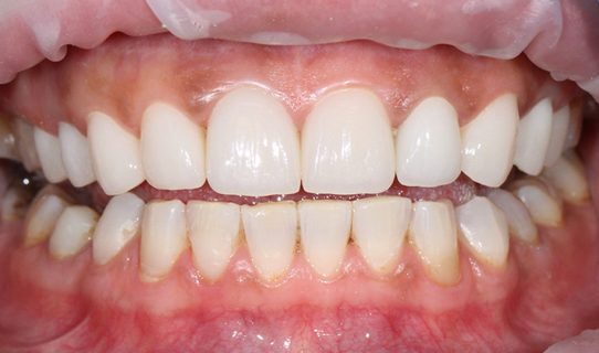
После ПОСЛЕ

В верхнем ряду установлено 10 единиц из диоксида циркония, снизу произведена профессиональная чистка зубов и отбеливание Beyond Polus.

Врачи
Врач-стоматолог 1-й квалификационной категории Арзамасов Иван Валерьевич
Врач-стоматолог 1-й квалификационной категории