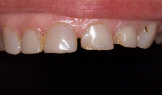
ДО
ПОСЛЕ
Компьютерная реставрация зубов методом CAD-CAM Cerec InLab. Установлены винниры из палевошпатной керамики.
Врачи
Главный врач, 1-я квалификационная категория по терапии и ортопедии

